Acompaña ISSSTE a pacientes fumadores en proceso para superar su adicción

- El ISSSTE, a través de la Clínica para Dejar de Fumar, ofrece un programa que se conforma de un plan de tratamiento de 12 sesiones con un equipo multidisciplinario, el cual consta de revisión médica, pláticas sobre los daños a la salud causados por tabaquismo, técnicas de afrontamiento y manejo del síndrome de abstinencia
- Entre los casos de éxito, destaca la historia del derechohabiente Carlos Pérez Resa, quien tras recuperarse de una cirugía por cáncer de pulmón y superar su adicción, ahora forma parte del programa de ex fumadores, por lo que acude a la clínica una vez al mes para seguimiento
Ciudad de México, a 23 de junio de 2025.- El Instituto de Seguridad y Servicios Sociales de los Trabajadores del Estado (ISSSTE), encabezado por el director general Martí Batres Guadarrama, destaca el caso del derechohabiente Carlos Pérez Resa, quien, con la atención y el acompañamiento recibido en la Clínica para Dejar de Fumar, adscrita a la Clínica de Medicina Familiar (CMF) de Querétaro, abandonó el tabaco tras más de cinco décadas de consumo diario.
De acuerdo con el testimonio de Pérez Resa, que consumía hasta dos paquetes de cigarros por semana, fue durante una visita médica de rutina que el personal del ISSSTE le ofreció unirse al programa antitabaco.
“Yo llevaba 52 años fumando; vine a recibir medicamento y la persona que me tomó los signos vitales me comentó que si no me interesaba unirme a la Clínica del Tabaco y le dije que sí, me mandó a Trabajo Social, me anotaron en una lista y me dieron fecha para iniciar el programa”, compartió.

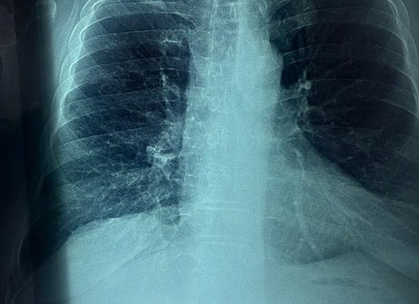
Durante las sesiones, especialistas del ISSSTE le realizaron estudios protocolarios de tórax, los cuales arrojaron presencia de cáncer de pulmón en etapa temprana, por lo que fue intervenido quirúrgicamente en febrero de este año.
“Tenía pocas probabilidades para curarme y el oncólogo -por la posición en la que estaba el tumor- me dijo que se podía eliminar cortando medio pulmón, por lo cual me sometí a la cirugía y gracias a Dios aquí estoy”, expresó.
Por su parte, el encargado de la Clínica de Tabaco para Dejar de Fumar de la CMF del ISSSTE en Querétaro, José Noé Montiel Rosas, destacó que tras recuperarse de la cirugía y superar su adicción, el paciente ahora forma parte del programa de ex fumadores en el que acude a la clínica una vez al mes para seguimiento.
“Así como Carlitos estaba con el esfuerzo de querer dejar de fumar -porque ya lo había intentado en otra ocasiones-, al llegar con nosotros, no solo lo intenta, sino que lo deja al 100 por ciento. (…) Historia como éstas, tenemos más y todas son importantes para nosotros porque todas tienen que ver con el tema de su salud”, resaltó.
Finalmente, Montiel Rosas afirmó que en la Clínica de Tabaco para Dejar de Fumar que dirige, así como en las del resto del Instituto, existe el firme compromiso de trabajar en favor de la salud de las y los trabajadores del Estado, al prevenir enfermedades cardiacas y pulmonares relacionadas con el tabaquismo, que es una de las principales causas de mortalidad prevenible en el país.
“Sabemos que el tabaquismo está influido por la nicotina, que es una sustancia muy adictiva, y así como detectamos cáncer de pulmón muy a tiempo en el paciente, vamos a seguir con estos esfuerzos para detectar no solo cáncer, sino más enfermedades, propias del tabaquismo”, concluyó.
El programa que implementa el ISSSTE, a cargo de Martí Batres Guadarrama, se conforma de un plan de tratamiento de 12 sesiones con duración de una hora a la semana por tres meses, el cual consta de revisión médica, pláticas sobre los daños a la salud, así como la aplicación de técnicas de afrontamiento y manejo del síndrome de abstinencia.
Participa un equipo multidisciplinario conformado por directores de clínicas donde se implementa el programa, coordinadores de la Clínica del Tabaco, de medicina, enseñanza y odontología, así como profesionales en psicología clínica, trabajo social, nutrición, activación física y enfermería. Para más información, consultar el siguiente link: https://lc.cx/hok-8x.